Цитологію і біопсію часто сприймають як альтернативу: що обрати для обстеження. У клінічній практиці такого вибору не існує.
Це різні етапи діагностики, які застосовуються послідовно. Один метод виявляє зміни, інший — визначає їх характер і клінічне значення. І саме це визначає подальшу тактику.
Для пацієнтів і тих, хто вперше стикається з діагностикою, це питання виникає ще на етапі розуміння результатів аналізів. Саме тому важливо пояснити різницю між цими методами не лише з клінічної, а й з практичної точки зору.
Різний рівень оцінки - як відрізняється аналіз клітин і тканин
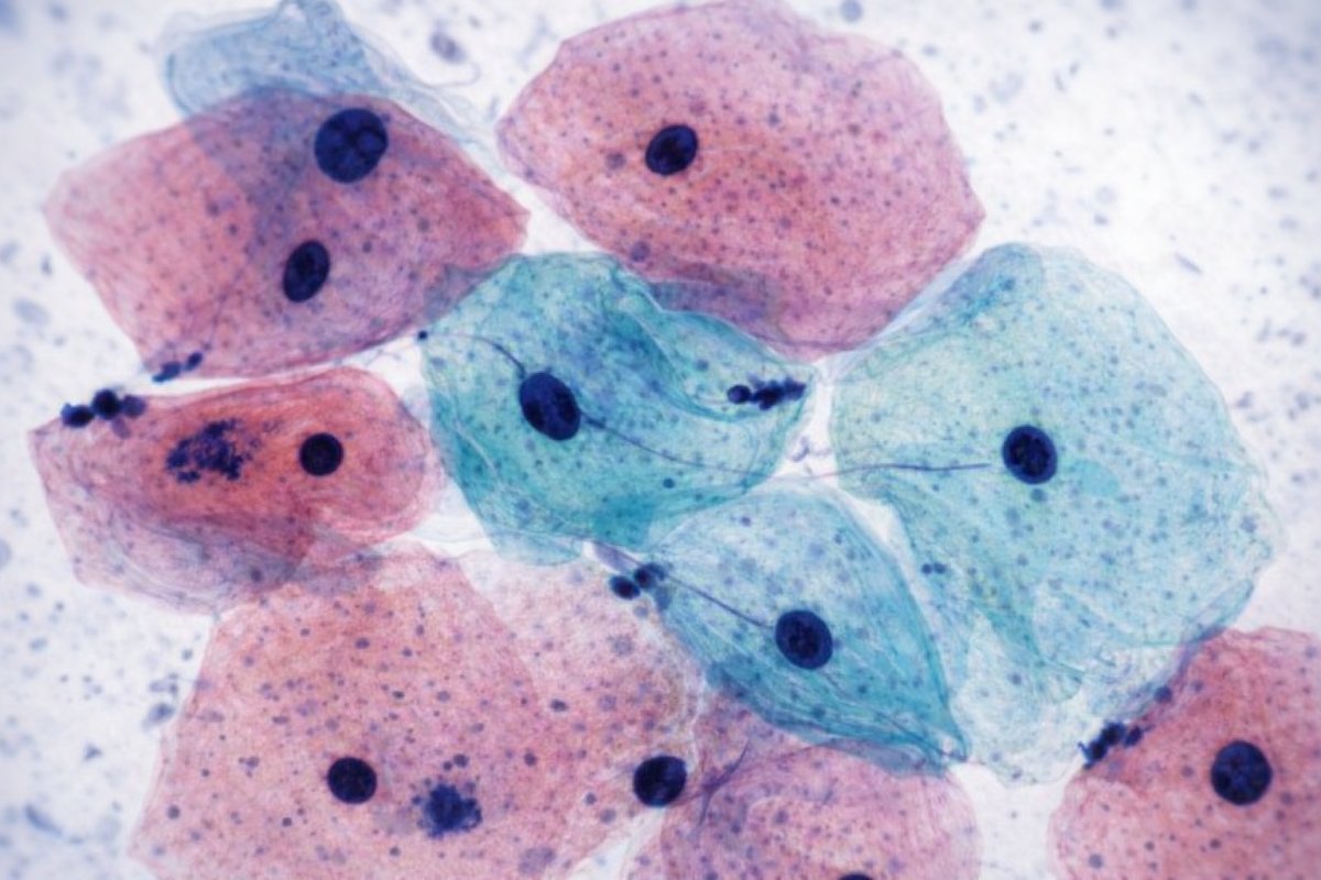
Цитологія - це оцінка клітинного рівня. Аналізуються морфологічні характеристики клітин: їх форма, структура, співвідношення ядра і цитоплазми, наявність ознак атипії. Це дозволяє виявити відхилення ще на доклінічному етапі.
Але клітинний аналіз не дає уявлення про структуру процесу в цілому.
Біопсія, на відміну від цього, дозволяє оцінити тканину як систему. Важливим стає не лише вигляд клітин, а їх взаєморозташування, глибина ураження, стан епітелію і його архітектоніка. Саме ці параметри визначають клінічне значення змін.
Тому формулювання “виявлені відхилення” після цитології і після біопсії мають принципово різну вагу з точки зору діагностики.
Як формується рішення про наступний крок

У клінічній практиці біопсія не використовується як стартовий метод. Обстеження будується послідовно — від скринінгу до підтвердження. Це означає, що пацієнт майже ніколи не потрапляє на біопсію “одразу” перед цим завжди є етап оцінки змін.
Початковим етапом є цитологія, яка виконує функцію відбору. Вона дозволяє відокремити результати, що потребують подальшої оцінки.
При відсутності значущих змін додаткові втручання не показані достатньо динамічного контролю.
У разі виявлення відхилень рішення не приймається ізольовано. Оцінюється сукупність даних: результати цитології, картина при кольпоскопії, фактори ризику, поведінка змін у динаміці.
Показання до біопсії формуються тоді, коли ці дані вказують на ймовірність клінічно значущого процесу і потребують морфологічного підтвердження.
Така послідовність від виявлення змін до їх підтвердження, є базовим принципом сучасної лабораторної діагностики.
У практиці медичної лабораторії CSD LAB цей підхід реалізується через поетапну оцінку результатів від цитологічного скринінгу до морфологічного підтвердження.
Це дозволяє уникати необґрунтованих втручань і забезпечує своєчасність точного діагнозу.
Де проходить межа між достатнім і недостатнім
Чи достатньо цитології, визначається не самим методом, а конкретною клінічною ситуацією. Якщо в мазку не виявлено атипових клітин або зміни мають мінімальний характер і не пов’язані з підвищеним ризиком, додаткові втручання не потрібні. У таких випадках достатньо спостереження і регулярного контролю.
Потреба у подальшому уточненні виникає тоді, коли результат не дає повної відповіді або викликає обґрунтовані сумніви. Зазвичай це пов’язано не з одним показником, а з поєднанням кількох факторів:
- виражені або підозрілі зміни в цитології
- невідповідність між результатом мазка і даними огляду або кольпоскопії
- повторювані відхилення у динаміці
- наявність факторів високого ризику
У таких ситуаціях важливо не просто зафіксувати наявність змін, а зрозуміти їх характер і глибину. Саме тому одного лише мазка недостатньо — потрібен метод, який дозволяє оцінити тканину, а не лише окремі клітини.
Що додає біопсія до розуміння ситуації

Біопсія дозволяє перейти від загальних формулювань до конкретного морфологічного висновку. У практиці це означає, що результат можна не лише описати, а класифікувати і пов’язати з подальшими діями:
| Висновок | Як це інтерпретується | Що це означає для тактики |
|---|---|---|
| Норма / реактивні зміни | Тимчасові або запальні процеси | Контроль або лікування причини |
| CIN 1 | Легкі зміни | Динамічне спостереження |
| CIN 2 | Помірні зміни | Індивідуальне рішення |
| CIN 3 | Виражені передракові зміни | Потребує лікування |
| Інвазивний процес | Глибше ураження тканини | Спеціалізований підхід |
Саме завдяки цьому лікар отримує не лише опис змін, а чітке розуміння їх значення для подальших дій.
Чому ці методи працюють лише разом
Цитологію і біопсію часто намагаються порівнювати як альтернативи. Насправді це різні інструменти, які вирішують різні задачі на різних етапах.
Цитологія дозволяє виявити зміни рано на рівні клітин. Вона чутлива до відхилень, але не дає повного уявлення про їх характер.
Біопсія, навпаки, не використовується для первинного виявлення. Її завдання - уточнити і підтвердити, що саме відбувається в тканині і наскільки це клінічно значуще.
Тому ці методи не замінюють один одного. Вони працюють послідовно: спочатку виявлення, потім підтвердження.

Для пацієнта це означає головне: ці методи не є взаємозамінними, і їх не потрібно обирати самостійно вони застосовуються послідовно. Коли ця послідовність дотримується, діагностика базується на фактах, а не на припущеннях, і дозволяє приймати обґрунтовані клінічні рішення.